В Кущевской центральной районной больнице врачи оказали помощь пациенту, у которого рыбья кость оказалась в печени.
Мужчина три недели не обращался к специалистам и занимался самолечением. Об этом рассказал в своем Telegram-канале министр здравоохранения Краснодарского края Евгений Филиппов.
Обращение мужчины в медицинское учреждение было вызвано неприятными ощущениями, которые он испытывал в течение трех недель после случайного проглатывания рыбьей кости. Игнорируя свои симптомы, он пытался лечиться сам, однако со временем его состояние ухудшилось, что заставило его обратиться за профессиональной помощью.
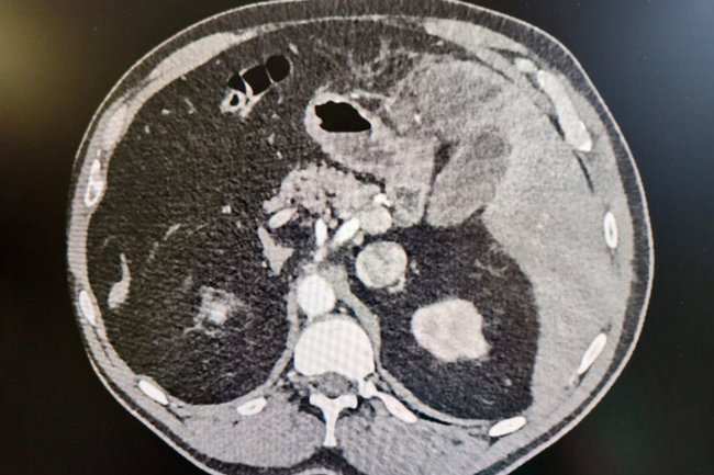
Диагностика показала, что рыбья кость пронзила кишечник и застряла в печени. Врачи приняли решение о проведении операции. Хирургическое вмешательство прошло удачно, и инородный предмет был успешно удален. Через три дня после операции мужчину выписали на дальнейшее амбулаторное лечение.

